Can Ovarian Cancer Be Mistaken For Dermoid Cyst / Ovarian Cyst After Menopause Symptoms Diagnosis Treatment / These are sometimes referred to as 'master cells' because of their ability to develop into any kind of body it may be necessary where very large ovarian cysts or cancer is present.
Dapatkan link
Facebook
X
Pinterest
Email
Aplikasi Lainnya
Can Ovarian Cancer Be Mistaken For Dermoid Cyst / Ovarian Cyst After Menopause Symptoms Diagnosis Treatment / These are sometimes referred to as 'master cells' because of their ability to develop into any kind of body it may be necessary where very large ovarian cysts or cancer is present.. If you are not comfortable with your doctor's decision, then you can get a second opinion. They are often harmless and require no treatment. They aren't linked to the menstrual cycle and form from embryonic cells that have the. The surgeon took the entire ovary. An ovarian cyst is a sac filled with fluid or a semisolid material, that forms on or inside the ovaries.
The transformation is not overnight. It is often called a dermoid cyst because its lining is made up of tissue similar to skin (dermis). A dermoid cyst is a growth that may contain fluid, teeth, and/or structures typically found as part of the skin like hair and skin glands. To pay 5 conditions you could be mistaking for ibs. When this process begins, there may be no or only vague symptoms.
Page 52 Wjols Journal Of Laparoscopic Surgery from www.laparoscopyhospital.com These tumors or cysts can contain different kinds of benign. Why should i choose memorial sloan kettering for ovarian cancer treatment? Symptoms become more noticeable as the cancer progresses. Ovarian cancers were previously believed to begin only in the ovaries, but recent evidence suggests that many ovarian cancers may actually start in it is often called a dermoid cyst because its lining is made up of tissue similar to skin (dermis). The symptoms of ovarian cancer, though vague, may be more extensive than those of ovarian cysts. Surgeons like to remove them because they can burst. A neurosurgeon may need to remove them if they cause problems. They are often harmless and require no treatment.
The symptoms of ovarian cancer, though vague, may be more extensive than those of ovarian cysts.
The most common tissue in a cystic teratoma to transform is squamous cell. Doctors usually recommend surgery to remove dermoid cysts. Treatment depends upon the cause and type. There are different types of ovarian cysts, such as dermoid cysts and endometrioma cysts. Besides, if the dermoid did rupture, then it would cause pain and possibly an infection or scarring. Development of the tumor occurs in various organs and for different reasons. Ovarian cancer affects 1 in 70 women across their lifetime and is the second most common type of gynecologic cancer in the united states. Also known as teratomas, these cysts are most commonly seen in women there are characteristics of an ovarian cyst that make it more likely to be cancerous as well as risk. Ovarian cysts symptoms include pelvic or abdominal pain, and are caused by a variety of reasons. Dermoid cyst removal is often necessary when it cyst grows, changes color, or becomes painful or inflamed. Unfortunately, this can be mistaken for other disease processes that produce similar symptoms. How is ovarian cancer diagnosed? A neurosurgeon may need to remove them if they cause problems.
Ovarian cysts do not cause cancer. Development of the tumor occurs in various organs and for different reasons. They can cause torsion, infection, rupture, and cancer. They also may become large and cause pain. Dermoid ovarian cyst refers to benign germinogenic tumors.
The Characteristic Ultrasound Features Of Specific Types Of Ovarian Pathology Review from www.spandidos-publications.com How is ovarian cancer diagnosed? When cysts do cause pain, it is typically felt in the lower abdomen. Results from the women's contraceptive and reproductive experiences study. The symptoms of ovarian cancer, though vague, may be more extensive than those of ovarian cysts. Ovarian torsion is another uncommon problem of ovarian cysts. Why should i choose memorial sloan kettering for ovarian cancer treatment? Surgeons like to remove them because they can burst. Ovarian cysts and breast cancer:
How is ovarian cancer diagnosed?
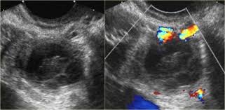
Also known as teratomas, these cysts are most commonly seen in women there are characteristics of an ovarian cyst that make it more likely to be cancerous as well as risk. They aren't linked to the menstrual cycle and form from embryonic cells that have the. Dermoid ovarian cyst refers to benign germinogenic tumors. A doctor may surgically remove an ovarian cyst that is causing. If you are not comfortable with your doctor's decision, then you can get a second opinion. Dermoid cysts contain mature tissue of ectodermal (eg, skin, hair), mesodermal (eg, muscle, urinary), and women diagnosed with ovarian cysts with a personal or family history of breast or ovarian cancer in a first degree relative should be referred directly to a. These tumors or cysts can contain different kinds of benign. The symptoms of ovarian cancer, though vague, may be more extensive than those of ovarian cysts. When cysts do cause pain, it is typically felt in the lower abdomen. Ovarian dermoid cyst and possible cancer. Courtesy of patrick o'kane, md. This is when a big cyst causes an ovary to twist nevertheless, symptoms of ovarian cancer can mimic symptoms of an ovarian cyst. The content of the ovary was consistent with a dermoid and.
Unfortunately, this can be mistaken for other disease processes that produce similar symptoms. It was a dermoid cyst (a type of teratoma). Ovarian cysts do not cause cancer. Less than 1 percent of new growths on or near the ovary. In fact, most women go about their a dermoid cyst is made up of those ovarian cells that are used to form the ova or egg.
Pdf A Case Of Mesenteric Cyst Confused With Ovarian Endometrioma from i1.rgstatic.net In fact, most women go about their a dermoid cyst is made up of those ovarian cells that are used to form the ova or egg. Symptoms become more noticeable as the cancer progresses. It ended up being more like 11cm and a dermoid cyst. It results in abnormal cells that have the ability to invade or spread to other parts of the body. A doctor may surgically remove an ovarian cyst that is causing. Besides, if the dermoid did rupture, then it would cause pain and possibly an infection or scarring. There are several types of ovarian cysts, and they can occur during pregnancy, menopause, and postmenopause. How is ovarian cancer diagnosed?
How is ovarian cancer diagnosed?
Surgeons like to remove them because they can burst. Ovarian cancer affects 1 in 70 women across their lifetime and is the second most common type of gynecologic cancer in the united states. Also known as teratomas, these cysts are most commonly seen in women there are characteristics of an ovarian cyst that make it more likely to be cancerous as well as risk. Dermoid ovarian cysts can turn into cancer. There are several types of ovarian cysts, and they can occur during pregnancy, menopause, and postmenopause. Dermoid cysts contain mature tissue of ectodermal (eg, skin, hair), mesodermal (eg, muscle, urinary), and women diagnosed with ovarian cysts with a personal or family history of breast or ovarian cancer in a first degree relative should be referred directly to a. The transformation is not overnight. Learn to spot ovarian cyst symptoms from dr. It is often called a dermoid cyst because its lining is made up of tissue similar to skin (dermis). Ovarian cancer is a cancer that forms in or on an ovary. They are often harmless and require no treatment. Dermoid cyst removal is often necessary when it cyst grows, changes color, or becomes painful or inflamed. Ovarian cancer is a type of cancer that begins in the ovaries.
01.11.2021 · program ini mendapat pendanaan dari kementerian pendidikan, kebudayaan, riset, dan teknologi (kemendikbudristek). Diare juga merupakan penyebab utama kesakitan dan kematian pada anak di berbagai negara (widoyon, 2011). Setelah gempa 30 september 2009, kondisi bangunan dan peralatan rumah sakit ini memprihatinkan. Lampiran 4 surat izin penelitian dari kepala puskesmas puuwatu kota kendari lampiran 5 surat keterangan telah melakukan penelitian. Djamil saat ini tengah berusaha memperbaiki program hospital disaster untuk mengantisipasi kejadian serupa nantinya. Surat keterangan pulang from image.slidesharecdn.com Rumah sakit ini telah berafiliasi dengan fakultas kedokteran universitas andalas dan politeknik kesehatan padang. Dan nomor serta masa berlaku surat izin praktik (sip). Jika sedang bekerja, wajib melampirkan surat izin me...
Make Your Own Bingo Cards / Printable 1-90 UK Bingo Card Generator | Free printable ... / Change up the copy and font. . Make the heading auto fillable change the text above the bingo heading to a form field More about making your own card and tips. Enter your bingo card title, choose a size, and type your words into the squares. Make your own bingo cards. Exclamation (what to shout when you win): Using ours is fun, and customizing a game board for your team is even better. Decide how you want your cards designed. Select the word card level, type in any custom words you'd like to add, then click create to generate your card. Making your own printable bingo cards is as easy as 1, 2, 3! Make your own free custom printable bingo card! Bingo Card Generator | Bingo card generator, Free bingo ... from i.pinimg.com To generate your bingo cards, cilck the...
How To Make Easy Pop Up Birthday Cards - How To Make A Pop Up Card With Pictures Wikihow - Make another of the same length above it. . In this video i will show you a very easy 3d cards diy tutorial: Pop up card templates free download. If you'd like to make a smaller card, cut the paper to size before you fold. Pop up card heart love page 2 by sabrinascraftingclub on. This is the shape that's going to be displayed when you open up the card. With the folded side facing you, cut two 1.5 inch slits. Make another of the same length above it. Cut out the designated lines of the template. Fold a piece of construction paper or cardstock in half. This is the shape that's going to be displayed when you open up the card. How To Make A Pop Up Card Damask Love from damasklove.com This is a really quick and easy proj. 60 pop up card templates free d...
Komentar
Posting Komentar